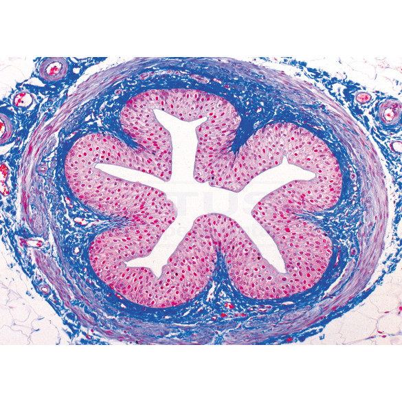
La histología es una ciencia fascinante que nos permite...
Mes: octubre 2024
La física es una de las ciencias más antiguas...
¿Sabes de qué está hecho todo lo que nos...
¿Estás iniciando tu formación en Laboratorio Clínico y no...
La genética molecular es una de las ramas más...
¿Cómo un simple conjunto de células se convierte en...
¿Estás iniciando tu formación en Anatomía Patológica y Citodiagnóstico...
¿Sabes cómo se formaron las montañas, por qué ocurren...
Los briofitos son un grupo fascinante de plantas pequeñas...
Las algas son uno de los grupos de organismos...