Si alguna vez te has preguntado cómo los científicos y médicos pueden visualizar estructuras celulares específicas en tejidos y órganos, la tinción Azul Alcian es una de las herramientas clave en este proceso.
Esta técnica histológica es fundamental en la anatomía patológica y en la investigación biomédica. En este artículo, te explicaremos qué es la tinción Azul Alcian, cómo se utiliza en el laboratorio y por qué es tan importante en el estudio de enfermedades.

Introducción a la Tinción Azul Alcian
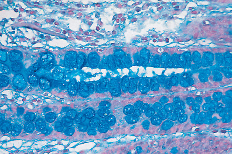
La tinción Azul Alcian es una técnica de laboratorio utilizada para colorear ciertos componentes de los tejidos, permitiendo su visualización bajo el microscopio. Es especialmente útil para detectar mucopolisacáridos ácidos, como el ácido hialurónico y los glucosaminoglicanos, que se encuentran en la matriz extracelular y en las secreciones mucosas. Esta tinción es una herramienta esencial en el diagnóstico de diversas enfermedades y en la investigación de las características estructurales de los tejidos.
¿Qué Tiñe la Tinción Azul Alcian?
Mucopolisacáridos Ácidos y Glucosaminoglicanos
El Azul Alcian tiñe específicamente los mucopolisacáridos ácidos, que son carbohidratos complejos presentes en diversas partes del cuerpo, como el tejido conectivo y las secreciones mucosas. Estos componentes juegan un papel crucial en la estructura y función de los tejidos, y su detección es vital para diagnosticar y estudiar enfermedades relacionadas con la acumulación anormal de estas sustancias.
Áreas de Utilización en Histología
En el campo de la histología, la tinción Azul Alcian se utiliza para identificar y estudiar varias estructuras biológicas, tales como:
- Mucinas: Glucoproteínas producidas por las células epiteliales, que son fundamentales en la lubricación y protección de superficies internas del cuerpo, como el tracto gastrointestinal.
- Cartílago: El Azul Alcian es útil para teñir cartílago, ya que este tejido contiene altas concentraciones de glucosaminoglicanos.
- Glándulas salivales y respiratorias: Ayuda a visualizar la producción y secreción de moco en estas glándulas.
Técnicas Histológicas con Azul Alcian
Protocolo Básico de Tinción
El proceso de tinción con Azul Alcian en el laboratorio sigue una serie de pasos que garantizan la correcta visualización de los componentes tisulares:
- Preparación de la Muestra: Los tejidos son fijados para preservar su estructura y luego se embeben en parafina para permitir cortes finos.
- Desparafinado e Hidratación: Las secciones de tejido se desparafinan y se rehidratan antes de aplicar la tinción.
- Aplicación del Azul Alcian: El colorante se aplica durante un tiempo específico, dependiendo de la concentración y del objetivo del estudio.
- Lavado y Contratinción: Las secciones teñidas se lavan y, a menudo, se someten a una contratinción para resaltar otras estructuras celulares.
- Montaje y Observación: Finalmente, las muestras se montan y se observan bajo el microscopio para el análisis.
Variantes de la Tinción Azul Alcian
Existen variantes de esta técnica que combinan el Azul Alcian con otros colorantes para obtener más información de los tejidos:
- Azul Alcian-PAS (Ácido Periódico de Schiff): Esta combinación se usa para diferenciar entre mucopolisacáridos ácidos y neutros.
- Azul Alcian-Alcian Amarillo: Esta variante permite la visualización simultánea de mucinas ácidas y neutras, utilizando el Azul Alcian y un colorante amarillo.
Aplicaciones Clínicas de la Tinción Azul Alcian
Diagnóstico de Enfermedades Mucosas
El Azul Alcian es crucial en el diagnóstico de condiciones que afectan las secreciones mucosas. Por ejemplo, en enfermedades como la fibrosis quística, esta tinción puede revelar acumulaciones anormales de mucinas, lo que ayuda a confirmar el diagnóstico.
Identificación de Tumores
En anatomía patológica, la tinción Azul Alcian se utiliza para diferenciar tipos de tumores que secretan mucinas. Esto es particularmente útil en el diagnóstico de adenocarcinomas, donde la presencia de mucinas puede ser un indicador clave del tipo y la agresividad del tumor.
Importancia de la Tinción Azul Alcian en la Investigación
Además de su uso clínico, el Azul Alcian es una herramienta invaluable en la investigación biomédica. Los estudios sobre enfermedades degenerativas, la biología del desarrollo y la ingeniería de tejidos dependen de esta tinción para visualizar la distribución y concentración de glucosaminoglicanos y otros mucopolisacáridos en los tejidos.
Conclusión
La tinción Azul Alcian es una técnica histológica esencial en el diagnóstico y la investigación de diversas enfermedades. Su capacidad para teñir mucopolisacáridos ácidos y glucosaminoglicanos hace que sea una herramienta invaluable tanto en la clínica como en el laboratorio de investigación.
Comprender qué es el Azul Alcian y para qué se utiliza es fundamental para apreciar su impacto en la anatomía patológica y en la ciencia médica en general.
Si alguna vez te has preguntado cómo los médicos y científicos pueden «ver» las estructuras internas de los tejidos y diagnosticar enfermedades, el Azul Alcian es una de las respuestas clave. Este colorante sigue siendo un pilar en los laboratorios de todo el mundo, ayudando a los profesionales de la salud a mejorar la vida de millones de personas.